Javascript must be enabled for the correct page display
×
We've moved into our new hospital. All appointments will now be seen at 156 N. Maag Ave. Oakdale, CA 95361. Thank you.
Hours & Contact
Monday - Friday
: 8:00am - 6:00pm
Saturday
: 8:00am - 1:00pm
(209) 847-2257
[email protected]
facebook
instagram
youtube
google
Main Menu
Menu
Services
Cats
Cat Anesthesia
Cat Cancer
Cat Cardiology
Cat Dental
Cat Dermatology
Cat Diagnostic Imaging
Cat Emergency
Cat Fleas & Ticks
Cat Grooming
Cat Heartworms
Cat House Calls
Cat Lab Tests
Cat Medications
Cat Microchipping
Cat Nutrition
Cat Preventive Care
Cat Spaying & Neutering
Cat Surgery
Cat Vaccinations
Cat Wellness Exams
Kitten Care
Senior Cat Care
Dogs
Dog Anal Sacs
Dog Bathing & Hygiene
Dog Allergies
Dog Behavior
Dog Cancer
Dog Cardiology
Dog Dental
Dog Deworming
Dog Diagnostic Imaging
Dog Emergencies
Dog Endoscopy
Dog Fleas & Ticks
Dog Heartworms
Dog Lab Tests
Dog Microchipping
Dog Nutrition
Dog Pregnancy
Dog Preventive Care
Dog Spaying & Neutering
Dog Surgery
Dog Vaccinations
Puppy Care
Senior Dog Care
General
Regenerative Medicine
End of Life Services
Health and Travel Certificates
Emergency
Referrals
Referred Clients
Surgery
Orthopedic
Carpal Hyperextension
Stifle (knee) Osteochondritis Dissecans (OCD)
Cruciate Ligament Disease
Extracapsular Stabilization
Tibial Plateau Leveling Osteotomy (TPLO)
Patella Luxation
Thoracic Limb Fractures
Pelvic Limb Fractures
Hip Dysplasia
Coxofemoral (Hip) Luxation
Shoulder Osteochondritis Disscans (OCD)
Soft Tissue
Imaging
Computerised Tomography (CT)
Ultrasound
Endoscopy
About Us
Meet Us
Leadership Team
Veterinarians
Team
Careers
Veterinarian
Veterinary Student Externship
Our New Hospital
We've Moved Into Our New Building!
Mission
Community
Payment Options
Pet Insurance
Resources
Online Pharmacy
Forms
Blog
Advanced Imaging Cases
Cats
Dogs
Other
Breeds
Cats
Dogs
Glossary
Request an Appointment
Search
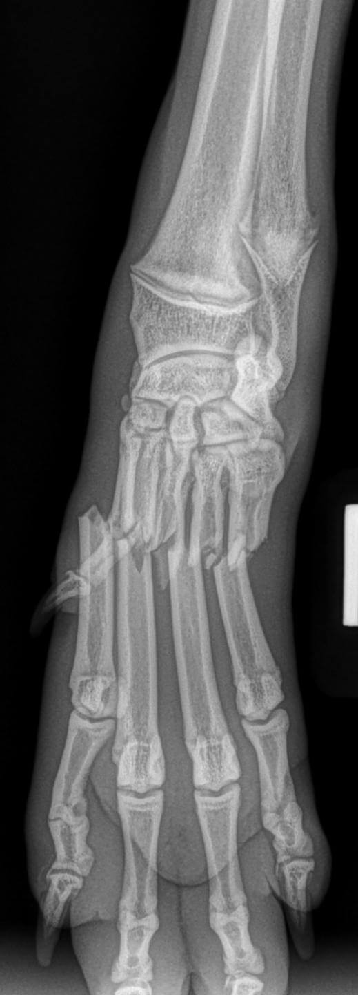
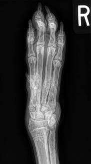
Thoracic Limb Fractures
Humerus
Radius/Ulnar
Metacarpus
Previous Slide
Next Slide